Home

Devaskularizace dělohy

Uterotonika
 
e8a6b24cf8d6fc5d.uteronika_1

Nechirurgická devaskularizace dělohy
 
1b971a9fddb79903.PK_1_1


1be2cf1ebf5721ef.obr_1_1



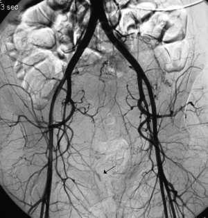
552e327576e18a65.PK_5a_1


Chirurgická devaskularizace dělohy

55f28d9715bbdff6.PK_2a_1




f559648e926da6e6.PK_3a_1



28b136f6ed6ff2b2.doplnek_1


 
6d3beaf4db7ba152.Celox


Intervenční radiologie
d22ae5aa748a0267.Jada